What Is a Dermal Filler and How Can It Improve Your Look
What Is a Dermal Filler and How Can It Improve Your Look Dermal fillers for lips are a type of cosmetic treatment that helps enhance the shape and fullness of your lips. At First Choice Dental, we offer safe and professional lip filler treatment in Narellan to help...
Are Full Mouth Dental Implants the Right Choice for You?
Are Full Mouth Dental Implants the Right Choice for You? Imagine a master builder tasked with restoring a beautiful, old mansion to its original glory. The foundation is solid, but time has taken a toll on the walls and structure. The builder knows the key to a...
Which Implant Solutions Are Best for You?
Which Implant Solutions Are Best for You? Insights from Specialists in Implant Dentistry When it comes to dental health, nothing beats the confidence boost that comes with a brilliant smile. At First Choice Dental, our commitment to top-tier dental care includes a...
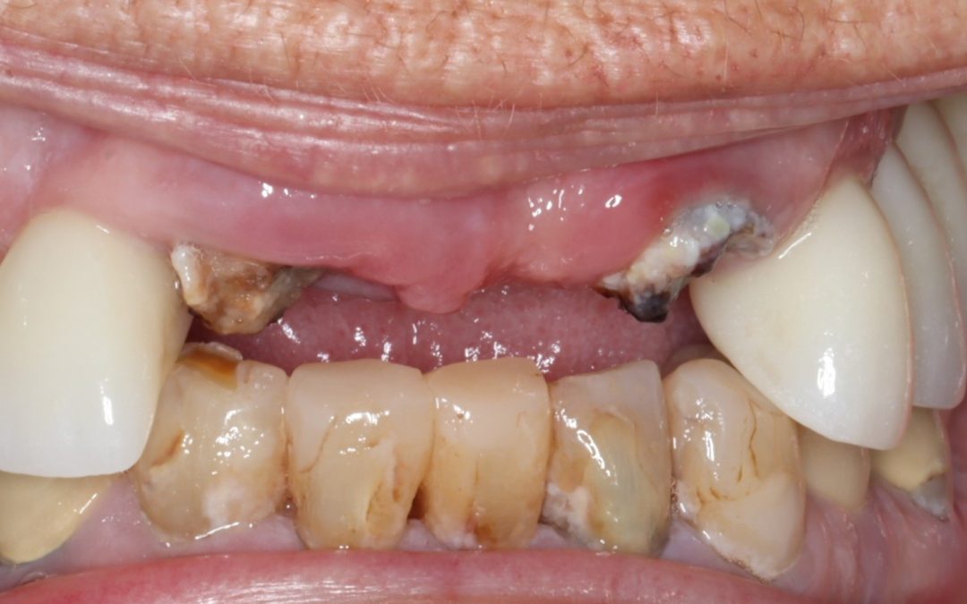
Full Mouth rehabilitation with implant
Full Mouth rehabilitation with Dental implants Our Full Mouth rehabilitation with implants Teeth Replacement: Unmatched Quality and Efficiency When it comes to replacing missing teeth, our Full Mouth rehabilitation with Dental implants treatment stands out as a...
