Dental Implants
Curious About Dental Implants?
Dr. Henry Mulla provides a detailed introduction to dental implants and their benefits in restoring your smile.
Have questions about dental implants? You’re not alone. Below, we’ve compiled answers to some of the most commonly asked questions to help you better understand the procedure.
Are You Missing Teeth and Looking for a Comfortable, Long-Lasting Solution?
Already Have Dentures but Find Them Uncomfortable?
Want to Feel and Look More Confident with a Beautiful Smile?
or
Considering Dental Implants?
Missing teeth don’t just affect your smile — they can change how you eat, speak, and feel every day. At First Choice Dental in Narellan, Dr. Henry Mulla uses advanced digital implant technology to deliver precise, natural results that are designed to last.
Unlike removable dentures, Dental implants are anchored firmly in your jawbone, so you can enjoy your favourite foods without worry and speak with complete confidence. Whether you need to replace one tooth or a full set, we tailor each treatment to your lifestyle and long-term oral health.
From your first consultation through to final restoration, Dr. Mulla and our caring team focus on making the process clear, comfortable, and stress-free. With proper care, your implants can become a lifelong investment in both your health and your smile.
Expert Care from a Dental Implant Expert
Our dental implant specialist has years of experience placing high-quality dental implants with precision and care. Using state-of-the-art technology, we ensure every tooth implant procedure is performed with the highest level of safety and accuracy. When you choose us for dental implants in Narellan, you’re choosing expertise, trust, and outstanding results for your oral health and smile.
Personalised Treatment Plans
No two smiles are alike, which is why we offer personalised dental implant treatment plans to suit your specific needs. Whether you need a single tooth implant or a full-mouth restoration, our experienced implant dentist will design a solution that delivers the best possible outcome for you. We take the time to understand your goals and create a treatment plan that suits your lifestyle and budget.
Long-Term Benefits
Choosing dental implants offers long-term advantages beyond aesthetics. They help preserve bone structure, prevent neighboring teeth from shifting, and offer a permanent tooth replacement solution that can last a lifetime with proper care. We believe dental implants are a smart, lasting investment in your oral health and confidence.
Understanding Dental Implant Costs
Understanding the cost of dental implants is an important part of making the right decision for your oral health. At First Choice Dental, we provide a clear and honest breakdown of dental implant pricing, which varies based on individual needs—such as the number of implants, complexity of the case, and whether additional procedures like bone grafting are required.
We offer personalised consultations to provide accurate cost estimates and discuss flexible payment plans to suit your budget. Whether you’re considering a single tooth implant or full arch restoration, our team is here to make the process affordable and stress-free.
Contact Us for Your Implant Consultation
If you’re thinking about getting dental implants, schedule a consultation with our expert team at First Choice Dental. We’re committed to answering your questions, guiding you through every step, and helping you make a confident, informed decision about your dental health.
Why choose us?
Extensive Dental Implant Experience – Dr. Henry, our lead implant dentist at First Choice Dental, holds a Master’s in Dental Implantology and has been performing implant procedures since 2008. He continuously updates his skills through advanced training both in Australia and internationally, ensuring our patients benefit from the latest techniques and implant technologies.
Advance Technology & Investment in Your Smile – We’ve invested in cutting-edge equipment and ongoing training to deliver exceptional dental implant treatments. Our commitment to quality care makes us a trusted choice for dental implants in Narellan.
Precision in Every Detail – We focus on the details that make a big difference. From pinhole surgery to 3D digital implant planning, we ensure a precise and comfortable experience. Dr. Henry uses surgical guides tailored to each patient, reducing discomfort, improving outcomes, and shortening recovery times.
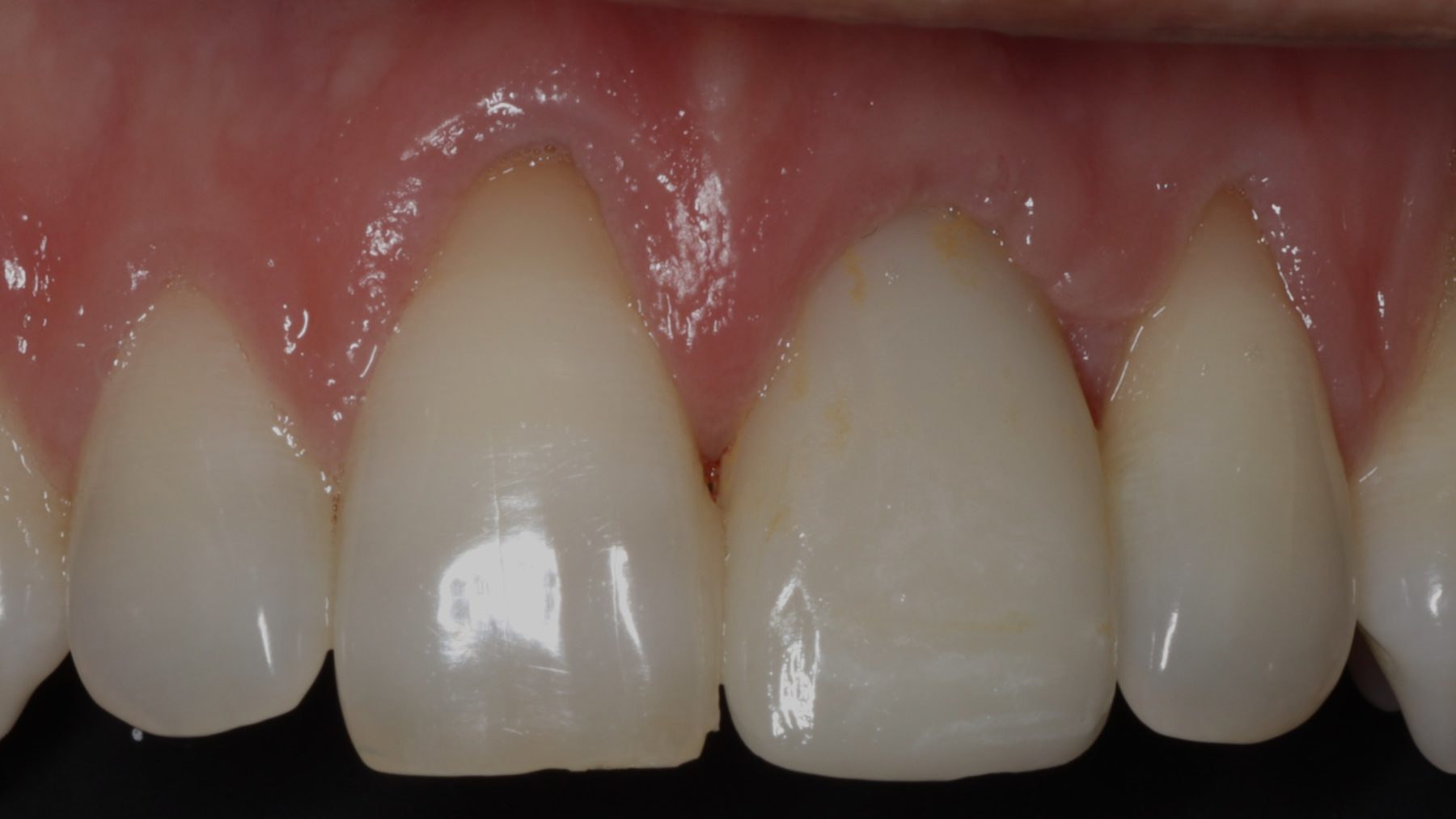
Many of our patients tell us they can’t even tell which tooth was replaced — that’s how natural our dental implants look and feel!
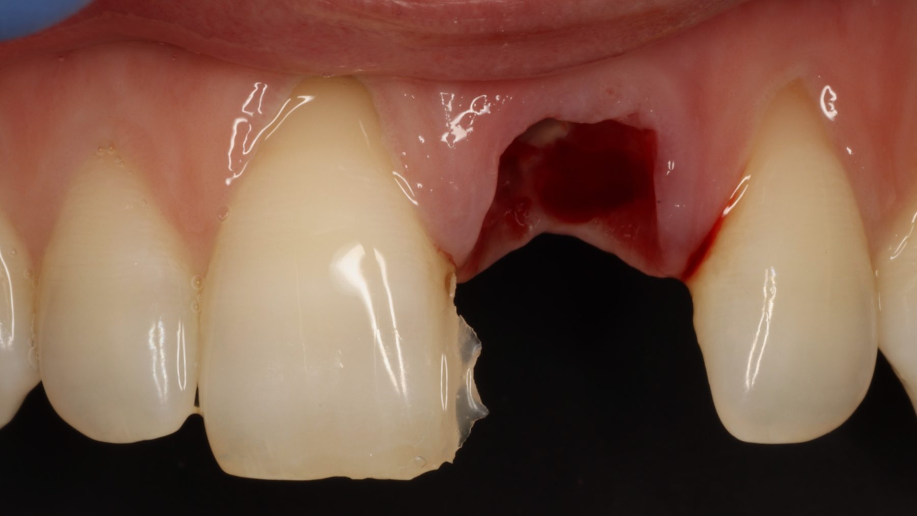
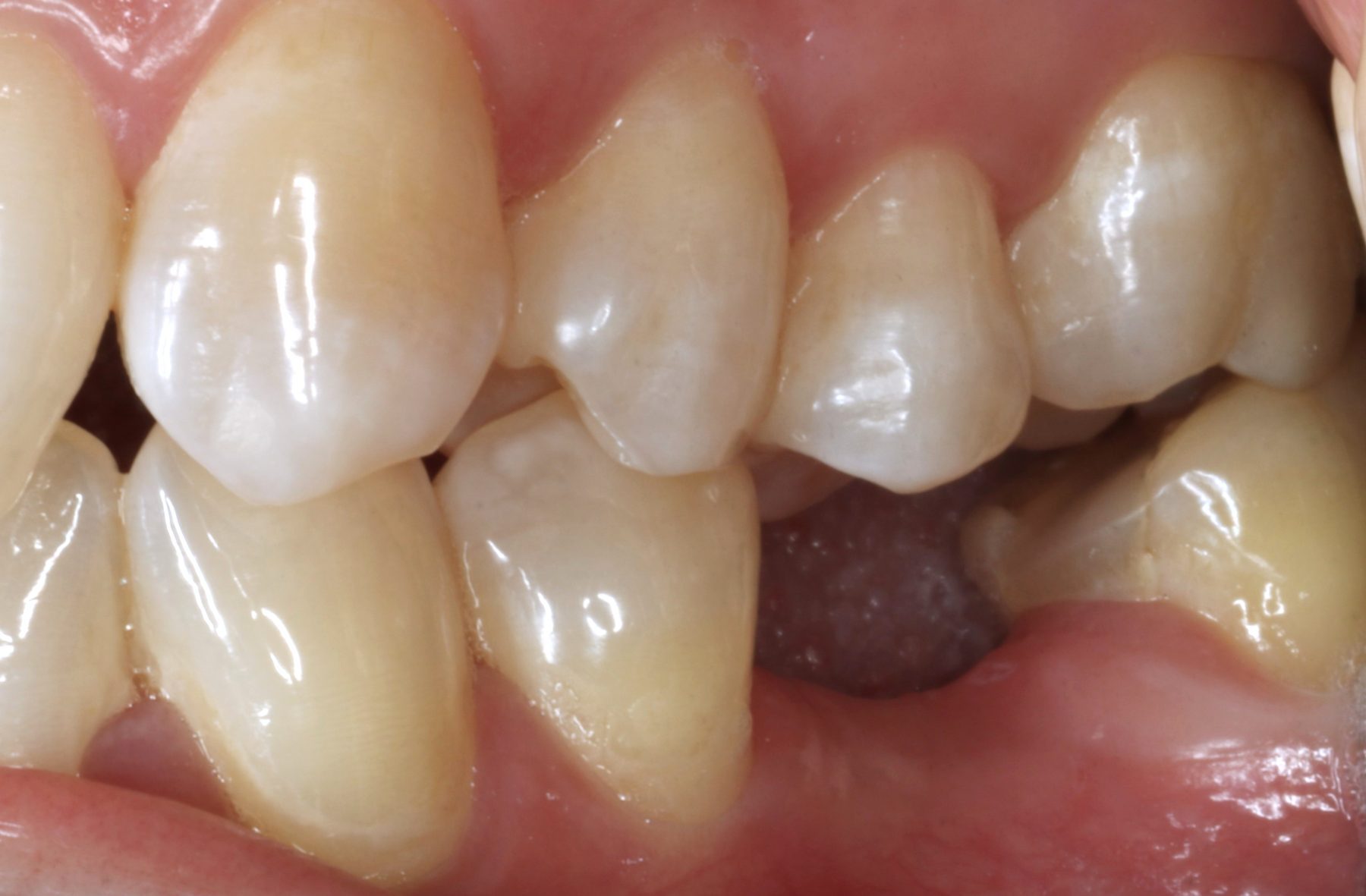
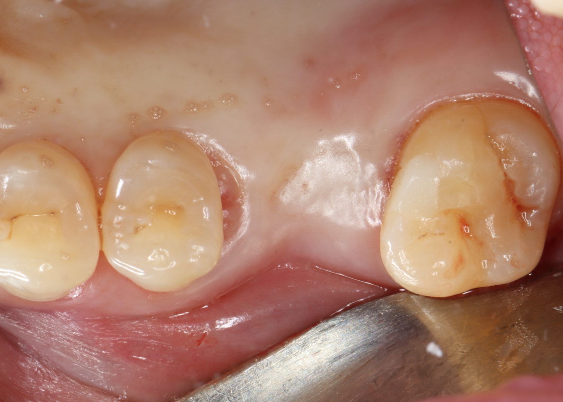
Curious About How Dental Implants Work?
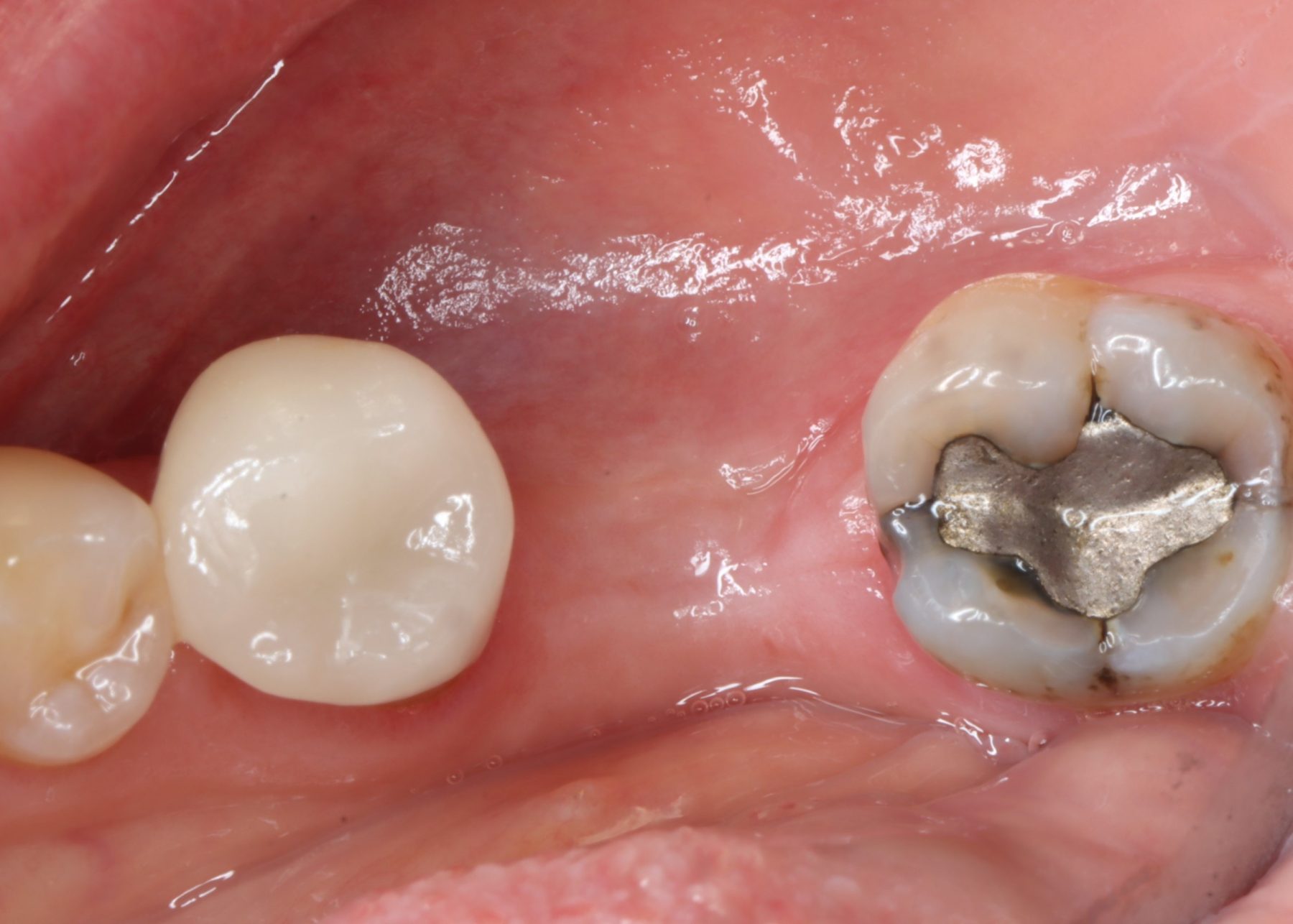
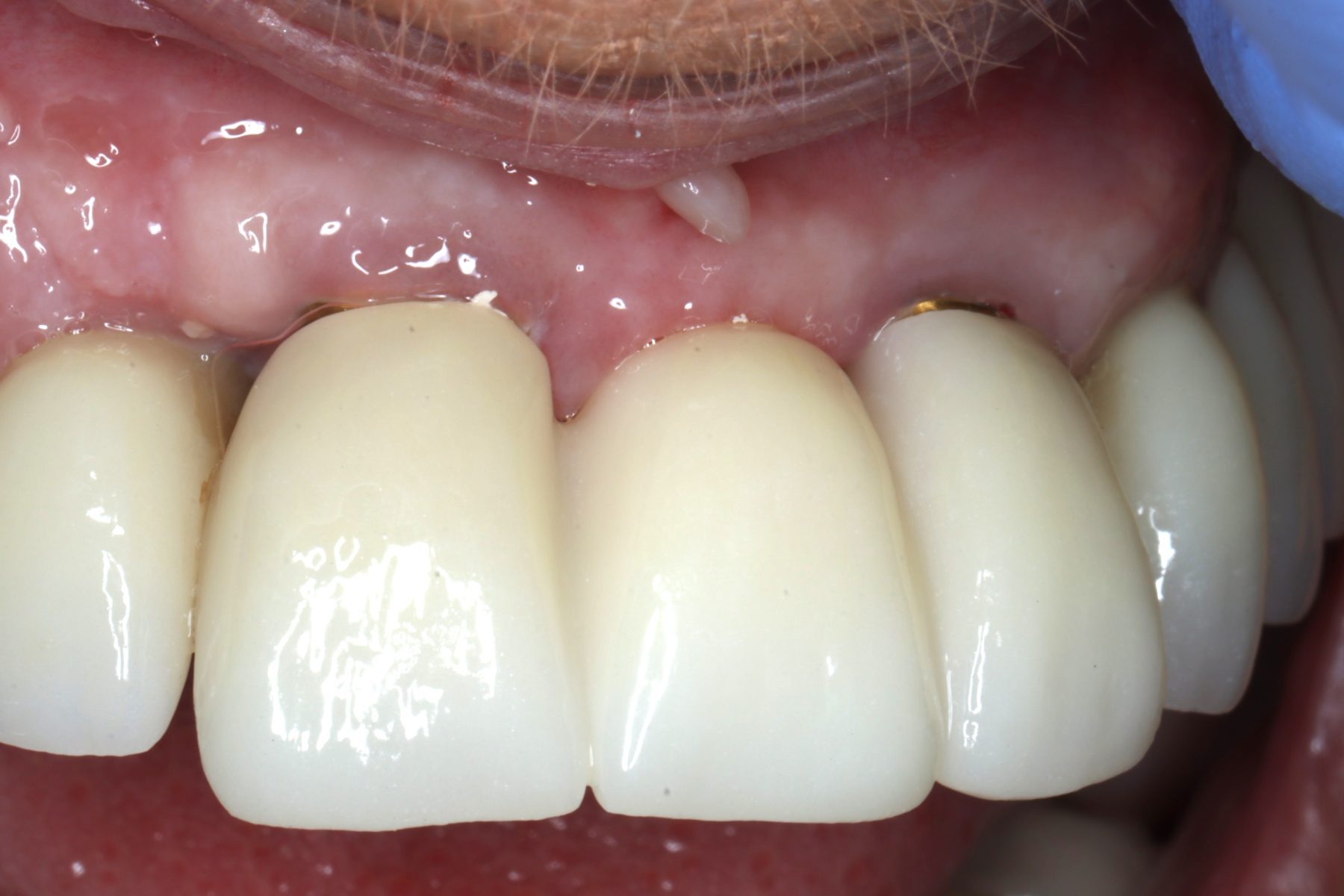
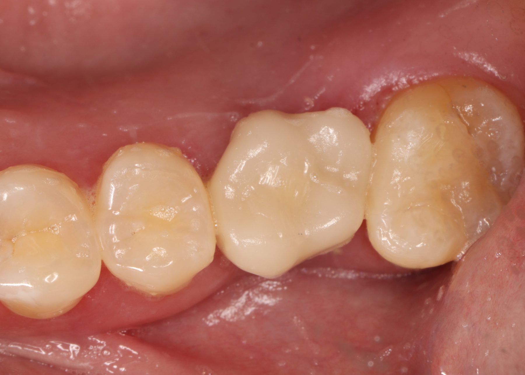
A dental implant is a bio-compatible, artificial tooth root that is surgically placed into the jawbone to support a replacement tooth or bridge. It offers a long-term solution for missing teeth — restoring both function and appearance.
The implant itself is a small titanium post that integrates with the jawbone in a process called osseointegration. Over time, the bone naturally fuses with the titanium, creating a secure and stable foundation for an artificial tooth.
Once the implant is fully integrated, a connector post (abutment) is attached to anchor a custom dental crown, bridge, or dentures, depending on your treatment plan. We use dental implants to Replace a single missing tooth, support a dental bridge for multiple missing teeth and secure a full arch of dentures (implant-supported dentures)
Beyond just replacing missing teeth, dental implants help maintain bone density, preserve your natural facial structure, and prevent the bone loss that typically follows tooth loss.
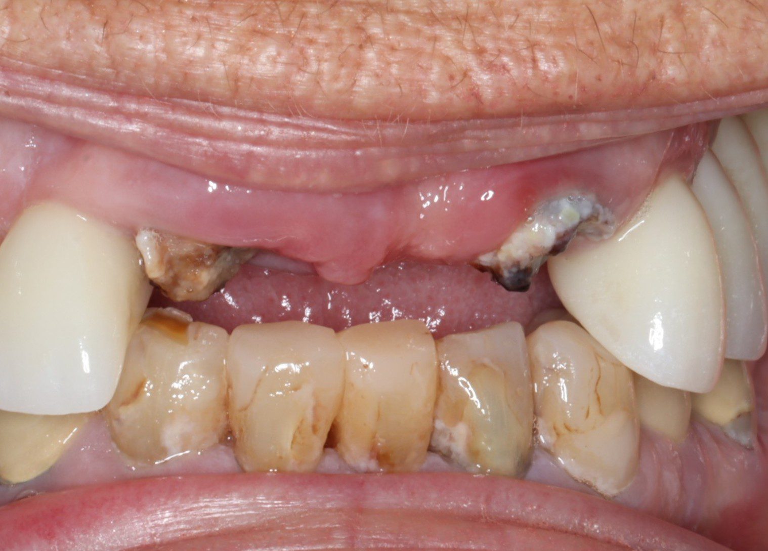
While dental implants are a popular and long-lasting solution, other options for replacing missing teeth include Crowns and Bridges, Removable Dentures. We offer a range of restorative treatments tailored to your individual needs and oral health goals.
If you’re a new patient and would like to explore whether a dental implant, bridge, or denture is the best solution for you, we invite you to schedule a consultation. Our experienced team will assess your oral health and help you make an informed decision.
‘Any surgical or invasive procedure carries risks. Before proceeding, you should seek a second opinion from an appropriately qualified health practitioner.’
Useful Links
Why choose Us?
We have a state-of-the-art and purpose built practice aimed primarily for the comfort of our patients.
We’re one of the few providers that can offer you your permanent solution in just 24 – 72 hours from your surgery – so there’s no need to spend months wearing a temporary bridge.
Your health and well-being is always our top priority and our medical process ensures that we assess your health in full before any treatment begins.
We have years of experience in delivering All Teeth on Implants to give our patients their best smiles.
Multiple Payment Plan Options Available
Access your Superannuation funds for your smile restoration!
0% Interest Free payment plans!
Flexible payment terms ranging from 3 months to 5 years.
Instant Private Health rebates with multiple providers.
Meet Your Doctor
Dr Henry Mulla
Dr Henry Mulla graduated in 1996 with a degree in Bachelor of Dental Surgery. He has been working in private practices all over Sydney including; Merrylands, Bankstown, Narellan, Thirroul and Richmond.
Dr Mulla holds a Master of Science (MSc.) in Oral Implantology.
Dr Henry is registered with the Australian Health Practitioners Regulation Agency (AHPRA). He is an active member of the Australian Dental Association (ADA), Australian Society of implant dentistry ASID, and International Congress of Oral Impantologists ICOI. Dr Henry is also a Fellow of the international college of continuing Dental Education (FICCDE), and has been since 2008.
First Choice Dental
Our clinic is thoughtfully designed to make every experience of dental treatment a positive one.
Copyright 2022 © First Choice Dental |Privacy Policy | All Rights Reserved. 02 4647 4570 ☎️
PLAIN ENGLISH TERMS & CONDITIONS
The ‘retail’ value of a Dental Implant Consultation with one of our dentists with an oral Exam and X-rays at First Choice Dental is $449. But you will get this completely FREE as part of this offer.
If you are deemed suitable for All in 5 implant treatment then a cone beam scan will be required at your initial consultation in our practice, this is usually an additional cost, however, the cost of the scan is also covered within this special offer.
The $500 OFF All in 5 Dental Implant treatment is only applicable when, and if, you proceed with All in 5 treatment at First Choice Dental and commence your treatment within 30 days.
The $500 is not redeemable for cash or credit, nor is it transferable.
There’s no pressure, and no obligation to go ahead with the treatment. If you need to cancel your free implant consultation appointment for any reason, please call our office ahead of time, so we can treat other patients during your scheduled time.
*The before & after images are not actual patient results and are just there for educational purposes to show what can be achieved through All in 5 and dental implant treatment. Individual results may vary based on a number of factors.
*If you want a copy of the records transferred to you or other providers, you will need to pay for the cost of CBCT ($390 value) and other X-rays ($120 value).
Book an Appointment
by calling us on 02 4647 4570
Our Location
Suite 3, 20 Somerset Ave Narellan NSW 2567
Connect with Us
©2008- First Choice Dental. All right reserved. Narellan Dentist















